全国热线电话:028-85501896
【名校麦克风】昆士兰大学用3D打印的钛骨植入物拯救一只小狗!
1665 2020-12-03
昆士兰大学的兽医和皇家墨尔本理工大学的工程师们为一只高级救援犬提供了一条新的生命“牵引带”。西摩已经从一只“奄奄一息”的病狗变成了一只快乐的小狗,它喜欢在甲板上晒太阳。下面小编就带大家一起来看看这条小狗。

西摩的救助领养人索尼娅把西摩交给了优格兽医的杰恩·麦基博士, 他希望研究出替代受伤多年的腿的方法。
杰恩·麦基博士说“当西摩第一次来到我的护理中心时,他有很多问题——包括严重的皮肤病、严重的牙齿问题、干眼症、双侧髌骨脱位以及双肘和右后腿骨关节炎的迹象,需要手术治疗。”
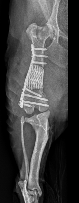
在没有标准解决方案的情况下,麦基博士聘请了皇家墨尔本理工大学先进制造部门的技术主管米兰·布兰特教授,他和博士后研究员达潘·希迪德博士一起,用专业知识来帮助。他们用目前治疗人类骨病的新一代植入物的研究成果,利用辖区内的3D金属打印技术,为西摩设计并制造了一种定制的、基于晶格的钛植入物。

布兰特教授说:“在检查了西摩的CT扫描后,我们设计了一个坚固的晶格结构,可以支撑他的体重,并将其固定在一个定制的、与他畸形骨骼完全吻合的钢板上。晶格填充了骨缺损,使股骨恢复到正常长度和排列,同时在股骨愈合时允许新骨生长,最终植入物成为愈合骨的一部分。”
当西摩从皮肤和牙齿疾病中恢复过来的时候,麦基博士和她的团队进行了先进的外科手术来安装植入物。她说:“为了鼓励骨骼生长到晶格中,从西摩的肩膀上切下了一块骨移植。“这是混合了犬脱钙骨和西摩自己富含血小板的血浆,然后压入骨板的晶格然后将骨格和钢板放入西摩左股骨骨缺损处,并固定到位。”
手术成功后,西摩被送回家与索尼娅及其家人休养。索尼娅说:“西摩是一只了不起的小狗,尽管他面临着种种挑战,但他从未停止过爱和幸福的生活。手术后,他进行了常规检查,多亏了RMIT大学和UQ VETS的专业外科医生团队,他们的临床表现非常好。我们对它的康复感到非常高兴,它可以毫无跛脚地兴奋地旋转觅食,我们还可以带它和我们的另一只狗卡什一起散步。”
来源:昆士兰大学
请使用微信扫描二维码登录